公司动态
多彩的世界(基础篇)——Masson染色
发表时间:2025-11-14
今天来给大家科普一下Pathology(以下简称PA)里的Masson染色技术!PA的世界可不止是冰冷的显微镜和切片,还有这样一种能给组织“上色”的神奇方法,它就是Masson染色。
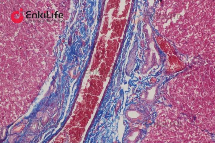
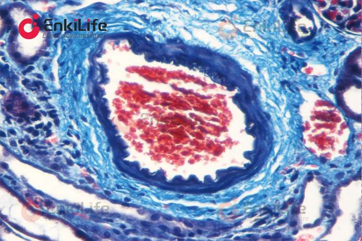
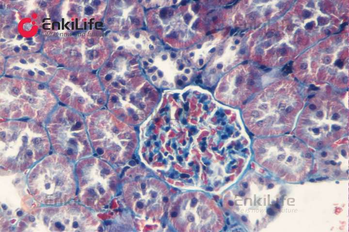
??染色原理:Masson染色是一种经典的结缔组织染色方法,它的原理是利用不同分子量的阴离子染料来区分组织成分。简单来说,小分子染料能钻进结构致密的组织,大分子染料则只能进入结构疏松的组织。所以,经过Masson染色后,肌纤维会被染成红色,而胶原纤维则呈现绿色或蓝色。
??染色步骤:
-
脱蜡至水:把石蜡切片上的蜡去掉,让切片能够充分接触染色剂。
-
染核:用Weigert铁苏木素染色液把细胞核染成黑蓝色。
-
染纤维:先用丽春红品红染色液把肌纤维染成红色,再用苯胺蓝或亮绿染胶原纤维,使其呈现蓝色或绿色。
-
脱水透明:最后通过一系列的脱水和透明处理,让切片变得清晰可见。
??应用范围 Masson染色可不是花架子,它在科学研究里超有用!
-
观察纤维化:像动物模型中肝-硬化、心肌-瘢痕这些模型,Masson染色能清晰地显示出胶原纤维的增生情况。
-
区分组织结构:在研究组织-结构时,它能帮我们清楚地区分胶原纤维和肌纤维,了解组织的细微变化。
??染色结果解读:
-
正常-组织:染色后呈现均匀的蓝色背景,肌肉纤维和血管等结构清晰可见。
-
纤维化-组织:会出现明显的红色或紫色区域,这些区域代表胶原纤维的增生,是纤维化的标志。
所以说,Masson染色是不是很神奇?它就像是PA里的“色彩魔术师”,用不同的颜色帮我们看清组织里的秘密。下次看到PA切片,说不定你也能认出这是Masson染色的杰作呢!??
#Masson染色 #科研 #显微镜 #实验室 #实验
上一篇:多彩的世界(基础篇)——HE染色
下一篇:多彩的世界(基础篇)——AB-PAS染色
